יתרונות טיפולי שיניים בגאורגיה
כיצד הפכה גאורגיה למרכז התיירות הרפואית של העולם
טיפולי שיניים בגאורגיה הפכו פופולריים יותר ויותר בשנים האחרונות, בעיקר בשל איכות הטיפול הגבוהה והמחירים הנוחים. הישראלים נוהרים אל מרפאות השיניים בגאורגיה, אבל לא רק הם – תיירים מכל העולם מגיעים כדי להנות מהיתרונות הרבים שגאורגיה מציעה בתחום הרפואי. אז מדוע הפכה גאורגיה למוקד עלייה לרגל לטיפולים רפואיים בכלל ולטיפולי שיניים בפרט? ריכזנו עבורכם כמה מהיתרונות של טיפול שיניים בגאורגיה:
מחירים נוחים
טיפולי שיניים בגאורגיה בדרך כלל זולים משמעותית מאשר בישראל. שער המטבע הנמוך מאפשר לישראלים להנות ממחירים שנעים בין שליש לחצי מהמחירים עבור אותם טיפולים בארץ. גם מחירי הטיסות והמלונות בגאורגיה נחשבים לזולים במיוחד, כך שהמחיר הכולל נותר זול גם עבור מטופלים שנאלצים לטוס לגאורגיה יותר מפעם אחת.
ניתן למצוא מידע נוסף ומחירים של טיפולי שיניים בגאורגיה בכתבות הבאות:
מחירים - כתרי זירקוניה בגאורגיה
מחירים - השתלות שיניים בכאורגיה
מחירים - ציפוי שיניים בגאורגיה
טיפול באיכות גבוהה
גאורגיה היא ביתם של אנשי מקצוע מנוסים מאוד בתחום רפואת השיניים. הרופאים בגאורגיה הם בעלי הכשרה גבוהה ומשתמשים בטכניקות ובטכנולוגיות העדכניות ביותר כדי לספק טיפול איכותי. רופאי שיניים ישראלים רבים למדו רפואת שיניים וקיבלו הכשרה בגאורגיה, ולמדינה יש תקנות מחמירות כדי להבטיח שטיפולי השיניים עומדים בסטנדרטים בינלאומיים. לא רק הישראלים נוסעים בהמוניהם לטיפולי שיניים בגאורגיה, אלא גם עבור מטופלים אירופאים רבים, גאורגיה היא אחד מהיעדים הפופולריים ביותר לטיפולי שיניים.
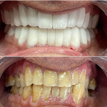
ניתן להתרשם מתמונות לפני ואחרי של מטופלים בקישור הבא - תמונות לפני ואחרי.
מגוון רחב של טיפולים
גאורגיה מציעה מגוון רחב של טיפולי שיניים, החל הלבנת שיניים וסתימות שגרתיות ועד לפרוצדורות מורכבות יותר כמו השתלות שיניים וציפויים. בין אם אתם זקוקים לניקוי פשוט או עבודה מקיפה יותר, המרפאה שלנו בגאורגיה יכולה לספק עבורכם את השירות ברמה הגבוהה ביותר.
ניתן למצוא מידע נוסף על אופן הטיפול ותהליך ההחלמה של טיפולי שיניים בגאורגיה בכתבות הבאות:
תהליך טיפול והחלמה - כתרי זירקוניה בגאורגיה
תהליך טיפול והחלמה - השתלות שיניים בגאורגיה
תהליך טיפול והחלמה - ציפוי שיניים בגאורגיה
מתקנים מודרניים
מרפאות השיניים בגאורגיה מצוידות בטכנולוגיות ובמתקנים העדכניים ביותר, לרבות מכונות רנטגן דיגיטליות וטכנולוגיית לייזר. המכשור המתקדם מאפשר לרופאי שיניים לספק אבחונים וטיפולים מדויקים יותר ומהירים יותר. בהגעתכם למרפאה בגאורגיה, צוות הרופאים יבצע את כל הבדיקות הנדרשות בעזרת המכשור המתקדם במרפאת השיניים, כולל צילום פנורמי או צילום CT.
מיקום נוח
טביליסי היא עיר מרכזית ותוססת במרחק טיסה קצר, מה שהופך את גאורגיה ליעד נוח לתיירות רפואית לישראלים. במהלך טיפולי השיניים בגאורגיה, ייתכן ובחלק מהימים לא יהיה צורך בהגעה למרפאה, לכן ניתן לשלב טיול יחד עם טיפולי השיניים שלכם. טביליסי היא לא רק מרכז רפואת השיניים של העולם, אלא גם יעד טיול מועדף על תיירים רבים ועל הישראלים במיוחד.
בסך הכל, גאורגיה היא יעד מצוין למי שמחפש טיפול שיניים איכותי במחיר הוגן. בין אם אתם זקוקים לטיפול שיניים אסתטי בלבד או לפרוצדורה מורכבת יותר, תוכלו למצוא בגאורגיה רופאי שיניים מנוסים ומיומנים.
לקבלת פרטים והצעת מחיר ללא התחייבות ניתן להשאיר פרטים וניצור איתכם קשר בהקדם האפשרי - להשארת פרטים ושיחה עם נציג.
Tulip Dent - טוליפ טיפולי שיניים בגאורגיה
054-4727005

השתלות שיניים
חסרות לכם שיניים? אם כן, בוודאי שקלתם השתלות שיניים.
שתלים דנטליים עשויים מעמודי טיטניום קטנים אשר מושתלים בניתוח לתוך עצם הלסת, שם הם משמשים כעוגן חזק ומאובטח לכתרים המשמשים כחלופה לשיניים החסרות.
שתלים דנטליים מציעים מספר יתרונות כולל מראה ותחושה טבעיים, שימור השיניים שמסביב ועמידות לטווח ארוך. קראו עוד כדי ללמוד איך שתלים דנטליים יכולים לשפר את מראה החיוך ואת בריאות הפה שלכם.


כתרי זירקוניה
זירקוניה הוא חומר חדשני המשמש לכתרי שיניים. זהו סוג של חומר קרמי (בשמו המלא נקרא תחמוצת זירקוניום). זהו הוא חומר חזק ועמיד לאורך זמן רב ובעל התאמה ביולוגית גבוהה מאוד, מה שהופך אותו לבחירה פופולרית גם עבור מטופלים בעלי רגישויות. כאשר משווים זירקוניה לחומרים אחרים המשמשים לכתרים כמו קרמיקת זכוכית או קומפוזיט, זירקוניה עמידה יותר, קשיחה וחזקה יותר. תכונות אלו של הזירקוניה מונעות היווצרות סדקים ושברים. לזירקוניה יכולת עמידות מצויינת שיכולה לסבול עומסים גבוהים יותר מבלי לפגוע בשלמות החיוך שלך. קראו עוד כדי ללמוד עוד כיצד כתרי זירקוניה יכולים לשפר את מראה החיוך ואת בריאות הפה שלכם.
השתלת שיניים ביום אחד - העמסה מיידית
שתלים בהעמסה מיידית מפחיתים משמעותית את זמן הטיפול על ידי ביטול הצורך במספר ניתוחים ותקופות המתנה ממושכות. המטופלים מסיימים את הטיפול בשבוע אחד בגאורגיה וחוזרים לארץ עם תוצאה סופית של חיוך מושלם. שתלים בהעמסה מיידית מאפשרים למטופלים להחזיר במהרה את הביטחון העצמי בחיוך שלהם ובתפקוד השיניים שלהם.


הרמת סינוס בטכנולוגיית PRF מתקדמת
ניתוח הרמת סינוס הוא הליך דנטלי המשמש ליצירת בסיס חזק להשתלות שיניים. הצלחת הליך זה תלויה באיכות השתלת העצם ובתהליך הריפוי לאחר הניתוח. PRF (פיברין עשיר בטסיות דם) הוא חומר שניתן להוסיף להשתלת העצם כדי לעזור לשפר את הריפוי ולהפחית את הסיכון לסיבוכים. PRF היא דרך בטוחה להעלות את אחוזי ההצלחה של ניתוח הרמת סינוס.
ציפויי שיניים - Emax
ציפוי שיניים Emax הוא בחירה פופולרית עבור אנשים המעוניינים לשפר את מראה השיניים שלהם. ציפוי Emax עשוי מחומר חזק ועמיד המסוגל לעמוד בהצלחה בפני הבלאי של חיי היומיום ולספק מענה לאורך זמן למי שמחפשים לשפר את החיוך שלהם.
ציפויי Emax ידוע ביכולתו לחקות את השקיפות הטבעית של אמייל השיניים, מה שהופך אותו לאופציה עדינה ואסתטית לשיפור מראה השיניים. קראו עוד כדי ללמוד על היתרונות של ציפוי שיניים Emax וכיצד הם יכולים לעזור לשפר את מראה השיניים שלכם.























